Transformations That Speak for Themselves
Explore our cases and see how VeneerRay delivers precision, speed, and stunning results for dentists and their patients.
Submit a Case Now
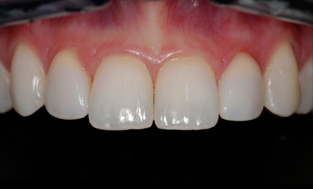
Olivia's Smile Story
Olivia had composite placed on her front teeth five years earlier to repair damage from an accident. Over time, she noticed some discoloration and wear, diminishing her smile's brightness. With a packed college schedule balancing classes and an internship, Olivia sought an easy, non-invasive solution to rejuvenate her smile without extensive dental work.
Read More

Joey's Smile Story
Joey had his front teeth bonded over fifteen years ago after a sports accident. His previous composite had worn down and darkened over the years and his teeth had moved after braces. He wasn’t looking for a dramatic “Hollywood” smile makeover. He wanted something subtle - an enhancement that would brighten his teeth while keeping them natural-looking. He didn’t want people to immediately think he’d had dental work done.
Read More

Alex's Smile Story
Alex had worn braces as a teenager, but like many patients, had not worn his retainers consistently. His teeth relapsed, leading to the reemergence of gaps between his front teeth. His father had addressed similar spacing issues of his own with porcelain veneers, but the extensive drilling involved in that procedure deterred Alex from following the same path.
Read More
Smile Transformations
You Can Trust
Discover the impact of VeneerRay's advanced 3D printing technology through stunning before-and-after results. Each case reflects our commitment to precision, artistry, and exceptional patient satisfaction.























Ready to Submit Your Case?
Our seamless case submission process ensures you get fast, accurate results. Simply upload your patient's scan and details, and our expert team will take care of the rest.